Why Wisdom Teeth Hurt & When to have them Removed
Why wisdom teeth hurt – Happy Smiles Dentist Hornsby has highly experienced dentists and staff that have been servicing the local Hornsby community for over 60 years. The team have always been dedicated to providing the highest quality care for you and your family, ensuring your comfort throughout the process of creating lasting, beautiful smiles and have dealt with hundreds of cases over the years of wisdom teeth problems, from impaction to extraction.
Wisdom teeth, also known as third molars, typically emerge between the ages of 17 and 25. While some individuals may never experience any issues with their wisdom teeth, others may face complications that necessitate removal. Identifying the signs that you might require wisdom teeth removal is essential for maintaining your oral health and preventing potential problems. Our skilled dental team at Happy Smiles Dentist is here to guide you through this process.
What are Wisdom Teeth?
Wisdom teeth are the third set of molars that typically emerge in a person’s mouth between the ages of 17 and 25. They are the last teeth to develop and are located at the very back of the upper and lower jaws. While some individuals may have all four wisdom teeth, others may have fewer, or even none at all. The eruption of wisdom teeth can sometimes cause issues, such as impaction, overcrowding, or infection, which may necessitate their removal to maintain optimal oral health. In cases where wisdom teeth emerge without complications, they can function as normal molars, assisting in chewing and grinding food.
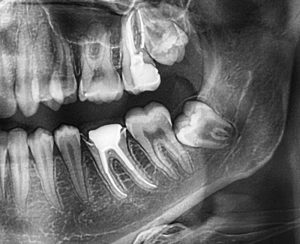
Why Wisdom Teeth Hurt – Understanding the Discomfort
Understanding the discomfort associated with emerging wisdom teeth is crucial for addressing any potential oral health concerns.
Why do wisdom teeth hurt? The pain experienced during the emergence of wisdom teeth can often be because of the pressure exerted on the surrounding teeth and jawbone.
As wisdom teeth begin to erupt, they can push against adjacent teeth, causing them to move and shift. This movement may lead to crowding or misalignment in the mouth, resulting in discomfort in the jaw. Symptoms that could arise from this displacement include pain, swelling, and stiffness, which may make it challenging to open the jaw and even affect one’s ability to breathe comfortably.
In some cases, wisdom teeth may only partially emerge, leaving a flap of gum tissue covering the tooth. This flap can trap food particles and bacteria, leading to gum infections, further exacerbating the pain and swelling. Impacted wisdom teeth, where the tooth does not have enough space to emerge correctly, can also be a source of discomfort. Impacted teeth may grow at an angle, pressing against other teeth, and potentially causing damage to the surrounding dental structures.
Another factor contributing to the pain associated with wisdom teeth is the inflammation that often accompanies their eruption. The body’s natural immune response can cause the area around the emerging tooth to become inflamed, resulting in redness, tenderness, and swelling. This inflammation can put additional pressure on the nerves in the jaw, exacerbating the pain experienced by the individual.
In some instances, individuals may develop cysts or tumours around impacted wisdom teeth, which can lead to further complications and heightened discomfort. If left untreated, these issues can cause damage to the jawbone and other teeth, making prompt intervention essential.
To alleviate the pain associated with wisdom teeth, it is essential to consult with a dental professional, such as those at Happy Smiles Dentist Hornsby, who can assess the situation and recommend appropriate treatment options. Solutions may include over-the-counter pain relievers, prescription medications, or, in some cases, wisdom teeth extraction to prevent further complications and ensure optimal oral health.













